A Better Life Starts with a Beautiful Smile
Welcome to 32 Pearls Dental Care
Friendly Clinic Near You
Your neighborhood dental clinic offering gentle care and personalized treatment.
Experienced Dentist
Skilled dental professionals delivering precise, comfortable, and reliable care.
DR. SHARIQ KHAN
[B.D.S.(A.M.U.) M.I.D.A.]
22+ Years of experience
32 Pearls Dental Care
Located : 41/127, Nai Sarak
(Sewa Hospital ) Parade , Kanpur






Book Your Appointment
DR. SHARIQ KHAN
B.D.S., Multi-Specialist Ortholodontic & Implantologist
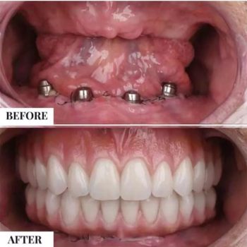
32 pearls Dental Care is a multispeciality orthodontic and implant clinic run by Dr Shariq khan since 2006. Dr Shariq Khan is a B.D.S pass out from A.M.U, he is a certified orthodontist, & dental Implantologist (I.S.O.I).
Ex lecturer Rama dental college, Ex lecturer Maharana pratap dental college














Why People Trust Us
From the first consultation to post-treatment care, we go the extra mile to deliver excellence you can see and feel.
Your smile deserves nothing less.
Experienced Dentist
Our experienced dentists provide expert, gentle care using modern techniques to ensure safe and reliable treatment for every patient.
Advance Treatment
We offer advanced dental treatments using modern technology and proven techniques to ensure precise, effective, and comfortable care for long-lasting results.
Guaranteed Results
We focus on accurate diagnosis, quality treatments, and proven techniques to deliver consistent, reliable results you can trust for long-term oral health.
Modern Equipment
We use advanced, modern dental equipment to deliver accurate diagnosis, safe procedures, and comfortable treatments for the best possible care.
OUR SERVICES
Happy Stories
Creating Vibrant Smiles for Healthy Lifestyles!
How to Find Us
Fill up the Form and Ask Your Queries
DENTAL CLINIC 1
NAI SARAK ( SEWA HOSPITAL ) PARADE KANPUR
DENTAL CLINIC 2
BRACES N SMILES DENTAL CARE CENTRE KDA CHAURAHA ,LAL BANGLA ,KANPUR
CONTACT NUMBER
+91 9936159041
EMAIL ID
drshariqkhan3@gmail.com
